審美歯科とは
審美歯科とは、一般的に歯を美しくする、健康的に整える治療全体のことを指します。
審美歯科と一般歯科の治療の違いがわかりづらいという声も多いと思いますが、主にそれぞれ目的が異なっています。
一般歯科では、主に虫歯や病気を治し、咀嚼機能の回復などを目的としています。
そのため、保険が適用となりますが、見た目を良くするということは目的には入っていません。
一方で、審美歯科は、文字通り審美性(見た目の美しさ)を良くする歯科治療です。
お口の中を健康的に整えることに加えて、見た目を良くすることを目的としています。
審美歯科は基本的には保険適用外となるため、一般歯科よりも料金が高くなります。
審美歯科の治療について
審美歯科の主な治療についてご紹介しています。
クラウン
クラウン
クラウンとは、歯の被せ物のことを指します。銀歯の被せ物を白い被せ物にすることで、見た目がナチュラルで整った印象になります。
ホワイトニング
ホワイトニング
専用の薬剤を使用して歯を白くします。 歯全体の印象が華やかになるのでおすすめです。
クリーニング
クリーニング
歯磨きでは落ちない汚れや着色などを、専用の器具で除去するメンテナンスです。 歯の表面の着色が落ちることで歯が白く見えるようになる効果もあります。
ラミネートベニア
ラミネートベニア
専用の器具で歯の表面を薄く削り、薄いセラミックを張りつける施術のことです。 歯を白く見せることや、歯の見た目(形)を良くするといった効果があります。
将来的にホワイトニングのご利用をお考えの患者様へ
白い被せ物などを入れたあとにホワイトニングをすると、被せ物などと周りの歯の色調が合わなくなることがあるため、まずホワイトニングをした後に治療をすることをおすすめします。
ホワイトニングについては以下で詳しくご紹介していますので、そちらもぜひご検討ください。
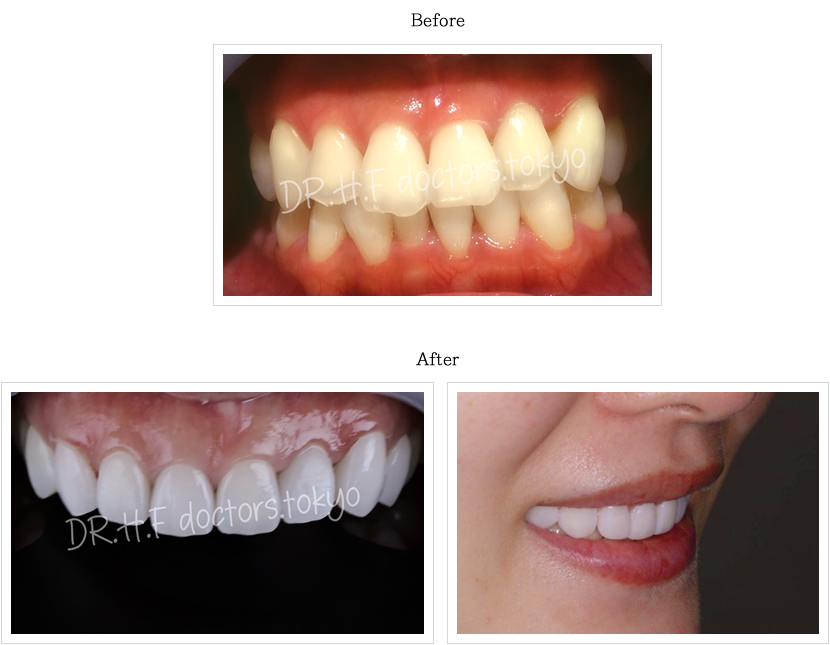
症例1
| 適用した施術(全て) | 前歯6本と小臼歯2本のジルコニアラミネートべニヤ8本 |
|---|---|
| 治療の経緯 | この患者様は不揃いな前歯と歯の色、質感にコンプレックスを抱えていらっしゃいました。そして短期間での完成と、完璧な色合いを求めていらっしゃいました。 私たちは、歯の神経を残すことと、削る量は最小限にすることを提案しラミネートベニヤを選択しました。 |
| その施術の リスク、デメリット |
前歯のセラミック・ラミネートベニアについて ラミネートベニアは、歯の表面をわずかに整え、セラミックを貼り付けることで前歯の色や形を整える審美歯科治療です。治療内容によっては歯を削る必要があり、強い力が加わると欠けたり外れたりすることがあります。また、将来的に再治療が必要となる場合もあります。当院では、治療前に十分な説明を行い、患者さまに合った治療をご提案しています。 |
| 費用(税抜) | 8本 880,000円 |
| 術後写真までの期間 | 術後6年 |


※医療行為には個人差があり、治療結果を保証するものではありません。当院では、十分な説明とご理解を大切にしています。
症例2
| 適用した施術(全て) | セラミックインレー |
|---|---|
| 治療の経緯 | この患者様は歯の間に深い虫歯ができており、虫歯を完全に除去したところ歯に大きな穴が開いている状態となってしまいました。その部分を修復するため、生体に親和性の最も良いとされるセラミックスインレーを選択しました。 |
| 注意点とリスク | セラミックインレーは、むし歯などで失われた歯の一部を修復する部分的な詰め物です。治療では必要な範囲の歯を削る処置が行われます。治療後は、歯の神経が刺激されることで一時的に痛みやしみる症状が出ることがあります。多くは経過とともに落ち着きますが、むし歯が深い場合や症状が続く場合には、神経の治療が必要となることがあります。噛み合わせや使用状況によっては、欠けたり外れたりする可能性があるため、治療後の経過観察とメンテナンスが大切です。 |
| 費用(税抜) | オールセラミックインレー×2 66,000円×2 合計132,000円 |
| 術後 | セット時の写真になります |


※治療後の経過や症状には個人差があり、すべての結果を保証するものではありません。当院では十分な説明とご理解を大切にしています。
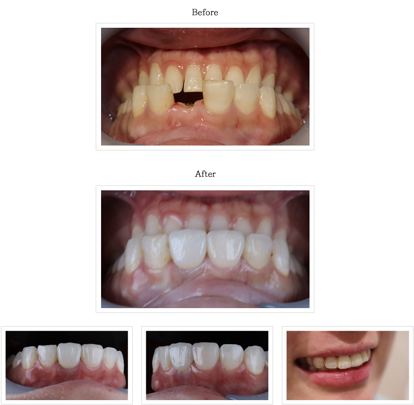
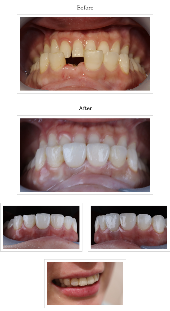
症例3
| 適用した施術(全て) | ホワイトニング 前歯インプラント治療 歯肉整形術 ridge preservation フルジルコニアクラウン ジルコニアラミネートベニア |
|---|---|
| リスク | 手術に伴う出血、感染、疼痛 歯肉退縮 |
| 費用(税抜) | インプラント 509,000円 ラミネートベニア 100,000円 ホワイトニング5回コース 39,600円 |
| 術後 | 半年 |

